欢迎选择我们,上海恒远生物科技有限公司!免费服务热线:400-0899-208          防伪查询

语言:Eng

您当前的位置:
首页>
产品中心>
抗体>
重组抗体>
CD163 Antibody

重组抗体

CD163 Antibody

  恒远生物抗体平台现已拥有4万多种抗体(含单抗和多抗),包括人类常用抗体,模式生物类相关抗体、小分子抗体、二抗、标签抗体及内参抗体等。并以每年4000种的速度在持续增长。

  恒远生物拥有专业的质控团队,配备先进实验仪器,现已成功地建立了ChIP平台,因此我们的抗体不仅能提供Biotin、FITC、HRP等标记,大部分抗体都能进行ELISA、WB、IHC、IF、IP、ChIP等应用验证。

  我们致力于为所有用户提供高亲和力、高特异性的优质抗体,欢迎来电咨询。

CD163 Antibody

 
  • 货号:
    HYK-200291
  • 规格:
     
  • 图片:
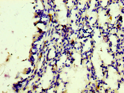
    • IHC image of CSB-RA801238A0HU diluted at 1:100 and staining in paraffin-embedded human lung tissue performed on a Leica BondTM system. After dewaxing and hydration, antigen retrieval was mediated by high pressure in a citrate buffer (pH 6.0). Section was blocked with 10% normal goat serum 30min at RT. Then primary antibody (1% BSA) was incubated at 4°C overnight. The primary is detected by a biotinylated secondary antibody and visualized using an HRP conjugated SP system.
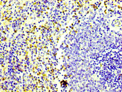
    • IHC image of CSB-RA801238A0HU diluted at 1:100 and staining in paraffin-embedded human spleen tissue performed on a Leica BondTM system. After dewaxing and hydration, antigen retrieval was mediated by high pressure in a citrate buffer (pH 6.0). Section was blocked with 10% normal goat serum 30min at RT. Then primary antibody (1% BSA) was incubated at 4°C overnight. The primary is detected by a biotinylated secondary antibody and visualized using an HRP conjugated SP system.

产品详情

  • Uniprot No.:
    Q86VB7
  • 基因名:
    CD163
  • 别名:
    C163A_HUMAN antibody; CD 163 antibody; CD163 antibody; CD163 antigen antibody; CD163 molecule antibody; Hemoglobin scavenger receptor antibody; M130 antibody; M130 antigen precursor antibody; Macrophage associated antigen antibody; MM130 antibody; OTTHUMP00000238617 antibody; OTTHUMP00000238618 antibody; OTTHUMP00000238619 antibody; OTTHUMP00000238620 antibody; SCARI1 antibody; Scavenger receptor cysteine rich type 1 protein M130 antibody; sCD163 antibody; Soluble CD163 antibody
  • 反应种属:
    Human
  • 免疫原:
    A synthesized peptide
  • 免疫原种属:
    Homo sapiens (Human)
  • 标记方式:
    Non-conjugated
  • 克隆类型:
    Monoclonal
  • 抗体亚型:
    Rabbit IgG
  • 纯化方式:
    Affinity-chromatography
  • 浓度:
    It differs from different batches. Please contact us to confirm it.
  • 保存缓冲液:
    Rabbit IgG in phosphate buffered saline, pH 7.4, 150mM NaCl, 0.02% sodium azide and 50% glycerol.
  • 产品提供形式:
    Liquid
  • 应用范围:
    ELISA, IHC, FC
  • 推荐稀释比:
    Application Recommended Dilution
    IHC 1:50-1:500
  • Protocols:
    ELISA Protocol
    Immunohistochemistry (IHC) Protocol
    Flow cytometry (FC) Protocol
  • 储存条件:
    Upon receipt, store at -20°C or -80°C. Avoid repeated freeze.
  • 货期:
    Basically, we can dispatch the products out in 1-3 working days after receiving your orders. Delivery time maybe differs from different purchasing way or location, please kindly consult your local distributors for specific delivery time.


ACTA1 Antibody

CD97 Antibody

Phospho-RPS6KA1 (T359+S363) Antibody

Phospho-RB1 (S807) Antibody

Phospho-MYB (S11) Antibody


在线询价

  • *
  • *
  • *
  • *
  • *
  • *

相关产品

CD4 Antibody

CD4 Antibody

恒远生物抗体平台现已拥有4万多种抗体(含单抗和多抗),包括人类常用抗体,模式生物类相关抗体、小分子抗体、二抗、标签抗体及内参抗体等。并以每年4000种的速度在持续增长。

查看详细
CD99 Antibody

CD99 Antibody

恒远生物抗体平台现已拥有4万多种抗体(含单抗和多抗),包括人类常用抗体,模式生物类相关抗体、小分子抗体、二抗、标签抗体及内参抗体等。并以每年4000种的速度在持续增长。

查看详细
Acetyl-Histone H4 (K16) Antibody

Acetyl-Histone H4 (K16) Antibody

恒远生物抗体平台现已拥有4万多种抗体(含单抗和多抗),包括人类常用抗体,模式生物类相关抗体、小分子抗体、二抗、标签抗体及内参抗体等。并以每年4000种的速度在持续增长。

查看详细

请输入搜索关键字

确定